Врачи Сургута спасли малыша, вытащив из бронхов проглоченную булавку
В Сургуте малыш едва не погиб, проглотив трехсантиметровую иглу

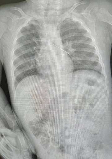
Автор фото: t.me/rvpaskov/
В Сургуте врачи Центра охраны материнства и детства спасли малыша, вытащив из его бронхов проглоченную трехсантиметровую булавку. Об этом случае рассказал директор депздрава Югры Роман Паськов.
Ребенок не мог дышать. Как показало быстрое обследование, булавка прошла по горлу и трахее, попав в бронхи и застряв там. Ситуация угрожала жизни ребенка.
«В клинику экстренно доставили малыша — 1 год и 5 месяцев. Ребёнок проглотил английскую булавку. Мама очень быстро среагировала, сразу привезла сына в больницу — и именно это помогло выиграть драгоценное время. После обследования специалисты увидели, что булавка оказалась в бронхах — ситуация, которая всегда несёт реальную угрозу жизни».
Вытащили булавку довольно быстро с помощью бронхоскопа. Если бы эта операция провалилась, ребенка пришлось бы вскрывать хирургическим путем.
Как объяснил Роман Паськов, проглоченные малышами предметы часто попадают напрямую в трахею и бронхи из-за особенностей детской анатомии, что приводит к закупорке дыхательных путей.
«Если ребёнок внезапно начал сильно кашлять, появилось свистящее дыхание, одышка, посинение кожных покровов — нужно немедленно вызывать скорую помощь», — подчеркнул директор депздрава.
Ранее в Сургуте врачи спасли ребенка, кишечник которого закупорился твердой пищей.
Читайте также: история спасения недоношенной девочки Таисии, Дюймовочки из Сургута.

Источник: stribuna.ru